All-on-4® Treatment Concept
If you have lost most or all of your teeth, or are struggling with loose dentures, the All-on-4® treatment concept offers a life-changing solution. This advanced treatment replaces an entire arch of teeth using just four strategically placed dental implants, giving you a permanent, stable, and natural-looking smile.
At Dougherty Cosmetic Dentistry, we offer full-service All-on-4® treatment concept in-house, from digital planning to surgical placement and final restoration. Call our dental office today to schedule a consultation.


What Is the All-on-4® Treatment Concept?
The All-on-4® treatment concept is a full-arch implant solution that uses four dental implants to support a fixed prosthetic (a custom full set of teeth). Two implants are placed at the front of the jaw, and two are angled toward the back to maximize support and stability, even in areas where bone loss may have occurred.
With fewer implants needed and no bone grafting required in many cases, the All-on-4® treatment concept offers a faster, more efficient path to full-mouth restoration.
What To Expect
The All-on-4® treatment concept restores your smile by ensuring you do not stay even a day without teeth. After your consultation, your doctor will surgically place four titanium posts on each jaw to serve as roots for your dental prosthetic. Above the implant fixtures, we screw in a denture to replace your missing teeth.
Since your implants require several months to integrate with the jawbone, we will place a temporary restoration over them to ensure you leave our office with a complete smile.
Over the next 4–6 months, we will leave your implants to heal and fuse with the bone. After this process, you will come to our office, where we will replace your temporary restoration with a permanent one. That is it! Now, you can enjoy life and speech with minimal disruptions.
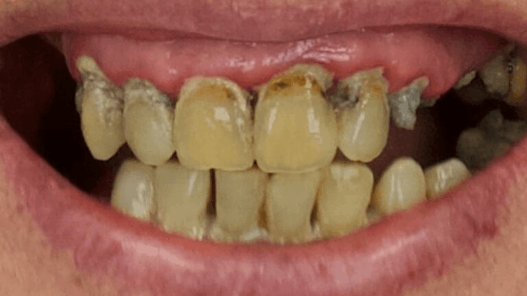
Real Patients, Real Results
Dougherty Cosmetic Dentistry – Before and After Images of Patients

Full Arch Restoration, with All-on-4® Treatment Concept Dentures
When you have lost all or most of your teeth, traditional dentures may seem like the only option on the table. But now, with improved dental technology, Dougherty Cosmetic Dentistry in Garden Ridge, can use dental implants to overcome your extensive tooth loss.
Instead of ill-fitting dentures, Dr. Larry Dougherty uses the All-on-4® treatment concept to restore your smile to full function with dental implants. Dubbed one of the most innovative dental restorations, dental implants are solid, predictable, and realistic-looking.
Streamlined Treatment, All In One Place
At Dougherty Cosmetic Dentistry, we provide the complete All-on-4® treatment concept process in-house. That means we handle everything, from implant placement to the final smile, all under one roof. No referrals, no confusion, just coordinated care from start to finish.
We use advanced digital planning tools, including 3D imaging and intraoral scanning, to ensure precise placement and lifelike results.

The “Root” Behind All-on-4® Treatment Concept Dental Implants
Although it is hard to imagine your mouth without teeth, this unwanted situation can happen because of gum disease, injury, and extensive tooth decay. While dentures can help fill up your mouth gaps, these restorations rest on top of the gums, making them unstable. As a result, many denture wearers may experience embarrassing situations when talking or eating.
The All-on-4® treatment concept replaces your missing teeth using only four implants placed strategically in the mouth. With two implants each at the front and rear, we complete your restoration by attaching a beautiful-looking denture. All-on-4® treatment concept dental implants offer a superior outcome in all respects, thanks to their secure position in the jawbone.

Benefits of the All-on-4® Treatment Concept
There are lots of advantages to dental implants but the All-on-4® treatment concept offers specific perks that you can’t get with any other treatment, such as:
- Fixed (non-removable) teeth: This creates a look that is natural and feels like your regular teeth
- No more slipping or adhesives: Traditional dentures are notorious for falling out or sliding around due to the nonpermanent aspect but the All-on-4® treatment concept is completely secured
- Eat, speak, and smile confidently: Functionality and bite strength is restored just like natural teeth
- Same-day teeth: In many cases this can be completed in one day, allowing immediate function
- Preserves jawbone: A common problem with tooth loss is the decay of the jaw and facial structure over time, the dental implants stimulate the jaw to avoid this deterioration.
- Oral function: Get back to your oral health and function with dental implants.
- Natural feel: Personalized to your needs for a completely natural appearance.
- Easy to maintain: You can treat them just like natural teeth, making maintenance easy.
It is a strong, long-lasting solution designed for comfort, beauty, and performance. If you want to experience these benefits, call to schedule an appointment today!
Ready to Transform Your Smile?
At Dougherty Cosmetic Dentistry, we listen to your goals and create a customized plan that delivers excellence at every step. Having a cosmetic dentist you can trust is essential as you get a smile makeover. Call our cosmetic dentist team, and we will partner with you to give you the beautiful smile of your dreams.


















